MÒN MEN RĂNG NHỮNG VẤN ĐỀ MÀ BẠN CHƯA BIẾT.

MÒN MEN RĂNG NHỮNG VẤN ĐỀ MÀ BẠN CHƯA BIẾT.
18/03/2025 09:13 PM 3607 Lượt xem

CÁCH PHỤC HỒI MÒN MEN RĂNG HIỆU QUẢ

Mòn men răng không những làm cho hàm răng của bạn mất đi thẩm mỹ, mà còn gây khó chịu, khiến răng bị ê buốt trong quá trong ăn nhai.Vậy nguyên nhân gây mòn men răng là gì và cách phục hồi men răng như thế nào? Hãy cùng Nha khoa Ân Tâm tìm hiểu sau bài viết này nhé!

 

1. Men răng là gì?

 

Men răng là lớp ngoài cùng rất cứng của răng. Lớp vỏ này là mô cứng nhất trong cơ thể con người. Tuy nhiên theo thời gian men răng sẽ bị bào mòn và để lộ lớp ngà răng bên dưới, có thể gây nên tình trạng răng nhạy cảm.

 

 

 

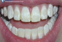
Men răng là gì?

 

Men răng dường như rất trắng nhưng thục tế phần nằm ngay dưới men răng là ngà răng, mới là phần chịu trách nhiệm cho màu răng của bạn, dù là màu trắng,xám hay vàng.

 

Vì vậy thường xuyên làm sạch và đánh bóng giúp loại bỏ hầu hết các vết bẩn trên bề mặt, đảm bảo răng luôn khỏe mạnh.

 

2. Nguyên nhân gây mòn men răng.

 

► Do yếu tố bên trong cơ thể.

Cơ thể mắc các bệnh lý về đường tiêu hóa như trào ngược dạ dày, ợ nóng.

Khô miệng là một trong những nguyên nhân khiến men răng bị mòn. Vì khi tuyến nước bọt hoạt động kém, các acid từ thực phẩm còn tồn đọng trên men răng không được trung hòa kịp thời, lâu ngày sẽ ăn mòn men răng.

Các bệnh lý về răng miệng như sâu răng, viêm nha chu, áp xe răng... khiến các ổ vi khuẩn tấn công vào men răng.

Men răng không hoàn chỉnh bẩm sinh do các bệnh lý như: thiếu dinh dưỡng, thiếu canxi, tan máu bẩm sinh, sinh non...

► Do các nguyên nhân bên ngoài.

Ăn các loại thực phẩm và thức uống có tính axit có thể gây mòn men răng(trường hợp này được gọi là ăn mòn do axit). Thực phẩm và đồ uống có tính axit bao gồm trái cây và nước ép trái cây, đồ uống có ga, cà phê đen, trà, rượu hoặc bất cứ thứ gì có vị chua như nước sốt cà chua và sốt salad.

Chải răng quá mạnh làm mòn men răng.

 

Đánh răng sai cách

Do có thói quen nghiến răng trong lúc ngủ.

Vệ sinh răng miệng không đúng cách, không làm sạch được các mảng bám thức ăn và vi khuẩn, tạo điều kiện cho vi khuẩn tấn công và làm mòn men răng.

Tác dụng phụ của các loại thuốc có hàm lượng acid cao như Aspirin, Vitamin C...

​​​​​3. Những dấu hiệu mòn men răng.

 

Các dấu hiệu của sự mòn men răng có thể khác nhau. Tùy thuộc vào giai đoạn. Một số dấu hiệu có thể bao gồm:

Nhạy cảm: Một số loại thực phẩm (đồ ngọt) và nhiệt độ thực phẩm (nóng hoặc lạnh) có thể gây ra một cơn đau ở giai đoạn đầu của sự xói mòn men răng.

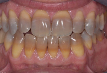
Đổi màu: Khi men bị mòn thì răng bị ngà màu nhiều hơn, răng có thể chuyển sang màu vàng.

 

Những dấu hiệu mòn men răng.

Các vết nứt xuất hiện.Các cạnh của răng trở nên thô ráp, không đều và bị lởm chởm vì men răng bị mòn.

Nhạy cảm, đau đớn nghiêm trọng: trong các giai đoạn sau của sự xói mòn men răng, răng trở nên cực kỳ nhạy cảm với nhiệt độ và đồ ngọt. Bạn có thể cảm thấy một cơn đau đớn làm bạn thấy khó chịu vô cùng.

Các vết lõm xuất hiện trên bề mặt răng.

Khi men bị mòn, răng sẽ dễ bị sâu răng hơn. Khi sâu răng đi vào men răng cứng, nó đã xâm nhập vào phần chính của răng.

 

 

 

Sâu răng giai đoạn đầu có thể không gây ra vấn đề gì. Nhưng khi sâu răng phát triển và thâm nhập vào răng, chúng có thể ảnh hưởng đến các sợi thần kinh nhỏ xíu, dẫn đến áp xe răng hoặc nhiễm trùng, cực kỳ đau đớn.

 

4. Cách phục hồi men răng.

 

Phục hồi men răng đã mất phụ thuộc vào nguyên nhân, mức độ nặng nhẹ, sự lan rộng của tổn thương, tuổi tác, sự hợp tác của người bệnh và tính chất nhạy cảm của từng bệnh nhân. Bạn có thể tham khảo một số phương pháp sau:

Trám răng thẩm mỹ để bổ sung phần men răng bị mẻ, vỡ hoặc che phủ những lỗ sâu... Kỹ thuật nha khoa này không chỉ phục hồi men răng mà còn giúp bảo vệ các mô răng ở bên trong khỏi sự xâm nhập của vi khuẩn và đảm bảo tính thẩm mỹ.

Tham vấn ý kiến nha sĩ để bổ sung thêm Flour từ các sản phẩm chăm sóc răng miệng và thực phẩm.

Phục hồi lại men răng bằng các khoáng chất tự nhiên như súc miệng bằng dầu dừa, dùng các chất béo tốt, bổ sung Vitamin D và Canxi....

5. Phòng ngừa mòn men răng.

 

Có rất nhiều cách để bạn có thể bảo vệ men răng của mình, chẳng hạn như:

Đánh răng ít nhất 2 lần/ngày, đặc biệt là sáng ngủ dậy và trước khi đi ngủ. Sử dụng kem đánh răng chứa flour.

 

 

Sử dụng bàn chải lông mềm, có kích thước phù hợp. Không nên chải răng quá mạnh.

Sử dụng chỉ nha khoa, nước súc miệng hay tăm xỉa răng đúng cách.

Ngay sau khi tiếp xúc với thức ăn, nước uống có chứa axit, súc miệng bằng nước, sữa hoặc nước súc miệng có chứa flour.

Uống nhiều nước trong ngày, đặc biệt giữa các bữa ăn, vừa tốt cho sức khỏe vừa giúp loại bỏ những mảnh vụn thức ăn và axit còn sót lại trong miệng.

Tránh hoặc giảm thiểu việc ăn uống có chứa axit. Hạn chế thức uống coa chứa axit trong bữa ăn, kể cả rượu, bia.

Uống những thức uống có chứa acid bằng ống hút. Đặt ống hút vào sau các răng trước, khoảng giữa lưỡi.

Trước khi đánh răng, hãy đợi ít nhất một giờ sau khi ăn hoặc uống bất kì thứ gì có tính axit. Việc này sẽ cho răng bạn thời gian để tái hình thành lượng chất khoáng bên trong.

Nhai kẹo cao su không đường sau khi ăn. Việc này sẽ giúp tạo ra nhiều nước bọt giúp triệt tiêu các axit hình thành trong miệng sau khi ăn.

Khám răng và cạo vôi răng mỗi năm 2 lần để loại bỏ các mảng bám thức ăn trên răng.

 

Hy vọng với những thông tin trên đây giúp bạn có thêm nhiều kiến thức để trả lời cho câu hỏi về " Mòn men răng " Đồng thời, qua đó lựa chọn cho mình địa chỉ thăm khám uy tín để có hàm răng đẹp và ăn nhai thoải mái.

Dịch vụ làm răng có mức giá hợp lý và có niêm yết bảng giá để khách hàng tham khảo. Khi đến với Nha khoa Ân Tâm bạn sẽ được nhân viên tư vấn về dịch vụ cũng như mức giá chi tiết để có thể cân đối tài chính khi làm răng.

Để biết thêm dịch vụ tại Nha khoa Ân Tâm, quý khách hàng có thể inbox trực tiếp cho Nha khoa. Hoặc nhanh hơn, liên hệ ngay số Hotline 0936 386 052 để được tư vấn miễn phí nhé!

 

 

Zalo
Hotline