NHA KHOA BẢO TỒN - VIÊM NHA CHU CÓ NGUY HIỂM KHÔNG?

NHA KHOA BẢO TỒN - VIÊM NHA CHU CÓ NGUY HIỂM KHÔNG?
14/10/2025 08:19 AM 2370 Lượt xem
Nha chu là tổ hợp những bộ phận xung quanh răng, cụ thể: men chân răng, xương ổ răng, lợi, dây chằng. Nha chu có nhiệm vụ giữ chân răng được chắc chắn, củng cố sức khỏe cho răng.

► VIÊM NHA CHU LÀ GÌ? 

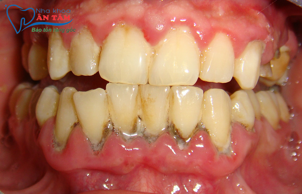
Viêm nha chu là một bệnh lý viêm nhiễm nghiêm trọng ảnh hưởng đến các mô nâng đỡ răng, bao gồm:

  • Nướu (lợi)
  • Dây chằng quanh răng
  • Xương ổ răng

Nếu không được điều trị, viêm nha chu có thể dẫn đễn mất răng vĩnh viễn do các mô và xương nâng đỡ răng bị phá hủy.

► CÁC GIAI ĐOẠN CỦA BỆNH VIÊM NHA CHU 

1. Viêm nướu (Gingivitis) - giai đoạn sớm:

  • Nướu sưng đỏ, dễ chảy máu khi chải răng.
  • Có thể hồi phục hoàn toàn nếu điều trị sớm.

2. Viêm nha chu nhẹ đến trung bình:

Xuất hiện túi nha chu (khoảng cách giữa răng và nướu sâu hơn).

  • Có thể có mủ, hơi thở hôi, tụt nướu.
  • Mất dần sự nâng đỡ răng nếu không điều trị.

3. Viêm nha chu nặng:

  • Xương ổ răng bị tiêu hủy.
  • Răng lung lay, có thể bị rụng.
  • Đau khi nhai, thay đổi vị trí răng.

► NGUYÊN NHÂN GÂY VIÊM NHA CHU 

Dưới đây là các nguyên nhân chính và yếu tố nguy cơ:

1. Mảng bám vi khuẩn (Plaque) - Nguyên nhân hàng đầu

Mảng bám là một lớp màng dính, không màu, chứa vi khuẩn hình thành trên răng sau khi ăn.

Nếu không được loại bỏ (qua chải răng và dùng chỉ nha khoa), mảng bám sẽ:

  • Cứng lại thành vôi răng (cao răng).
  • Gây viêm nướu, sau đó tiến triển thành viêm nha chu nếu không điều trị.

2. Hút thuốc lá

  • Là yếu tố nguy cơ lớn nhất sau mảng bám.
  • Làm giảm khả năng miễn dịch và lưu thông máu tại nướu → chậm lành, dễ nhiễm trùng.
  • Người hút thuốc có nguy cơ mất răng cao gấp 2-3 lần người không hút.

3. Vệ sinh răng miệng kém

Không đánh răng đúng cách hoặc không dùng chỉ nha khoa → mảng bám tích tụ → viêm nha chu.

4. Thay đổi nội tiết tố

  • Phụ nữ mang thai, dậy thì, kinh nguyệt, mãn kinh.
  • Làm nướu nhạy cảm hơn, dễ bị viêm nhiễm.

5. Bệnh lý toàn thân

  • Tiểu đường: làm giảm khả năng chống lại nhiễm trùng → tăng nguy cơ viêm nha chu.
  • Bệnh tim mạch, béo phì, loãng xương cũng có liên quan.

6. Di truyền

Có người dễ mắc viêm nha chu dù vệ sinh tốt → do yếu tố di truyền ảnh hưởng đến miễn dịch hoặc cấu trúc nướu.

7. Stress ( căng thẳng)

Làm suy yếu hệ miễn dịch → cơ thể khó kiểm soát vi khuẩn gây hại ở nướu.

8. Thói quen xấu

  • Nghiến răng, cắn vật cứng, hoặc sai khớp cắn → tăng lực tác động lên răng và nướu.
  • Có thể làm nặng thêm bệnh nha chu.

9. Chế độ ăn uống nghèo dinh dưỡng

  • Thiếu vitamin C, canxi, kẽm → nướu yếu, dễ viêm.
  • Ăn nhiều đường → tăng mảng bám.

10. Sử dụng thuốc

Một số thuốc gây khô miệng hoặc làm sưng nướu như:

  • Thuốc huyết áp (như nifedipine )
  • Thuốc chống động kinh (phenytoin)
  • Thuốc ức hế miễn dịch (cyclosporin)

► VIÊM NHA CHU CÓ NGUY HIỂM KHÔNG? 

Viêm nha chu có thể dẫn tới mất răng vĩnh viễn. Không chỉ vậy, vi khuẩn gây viêm nha chu có thể xâm nhập vào trong máu qua mô nướu rồi ảnh hưởng tới các bộ phận khác trong cơ thể như: tim, phổi,.. gây các bệnh lý hô hấp,...

Cụ thể những tác hại nghiêm trọng mà viêm nha chu có thể gây ra cho người bệnh như sau:

  • Chảy máu chân răng
  • Gây hôi miệng làm mất sự tự tin và thiện cảm trong mắt người khác
  • Khớp cắn bị loạn gây đau khi nhai, lực nhai bị giảm sút
  • Răng bị lệch
  • Gây áp xe chân răng, chết tủy
  • Hỏng mô nâng đỡ răng khiến răng dễ bị gãy rụng

► CÁC PHƯƠNG PHÁP ĐIỀU TRỊ NHA CHU

1. Điều trị không phẫu thuật

– Cạo vôi răng và xử lý mặt gốc răng

  • Loại bỏ mảng bám và cao răng trên và dưới nướu.
  • Là bước đầu tiên và rất quan trọng.

– Dùng thuốc

  • Kháng sinh toàn thân hoặc đặt kháng sinh tại chỗ (gel, chip).
  • Súc miệng bằng dung dịch sát khuẩn (chlorhexidine).
  • Gel chống viêm hoặc thuốc bôi tại chỗ.

2. Điều chỉnh khớp cắn (nếu cần)

Tránh tạo lực tác động sai lệch lên răng bị bệnh

– Điều trị phẫu thuật

Áp dụng khi túi nha chu sâu, tiêu xương nhiều:

  • Phẫu thuật vạt nướu
  • Mở nướu để làm sạch sâu mảng bám và tái tạo xương nếu cần.

– Tái tạo mô nha chu

Dùng màng chắn. xương nhân tạo, hoặc protein kích thích tái tạo mô.

– Ghép mô mềm

Để che phủ chân răng bị lộ hoặc tăng độ dày nướu.

3. Điều trị hỗ trợ và duy trì

  • Tái khám định kỳ 3-6 tháng/lần
  • Vệ sinh răng miệng đúng cách.
  • Không hút thuốc lá - yếu tố nguy cơ hàng đầu gây nha chu.

-----------------------------------------

Mong rằng với thông tin trên của Nha khoa Ân Tâm sẽ mang lại hữu ích cho bạn và giúp bạn đưa ra những quyết định cho mình! Nếu bạn đang quan tâm đến các dịch vụ chăm sóc sức khỏe răng miệng,hãy đến trực tiếp phòng khám của Nha khoa Ân Tâm để được các Nha sĩ khám và tư vấn miễn phí.

Hotline 0936.386.052

Zalo
Hotline