NHA KHOA BẢO TỒN - CÓ NÊN MÀI RĂNG CỬA KHÔNG?

NHA KHOA BẢO TỒN - CÓ NÊN MÀI RĂNG CỬA KHÔNG?
13/04/2026 09:08 AM 162 Lượt xem
Mài răng cửa có thể mang lại nhiều lợi ích, đặc biệt đảm bảo sức khỏe răng miệng luôn trong trạng thái tốt nhất. Tuy nhiên, việc mài răng cửa cần được thực hiện cẩn thận và chỉ khi thật cần thiết.

► MÀI RĂNG CỬA LÀ GÌ?

Mài răng cửa là kỹ thuật nha khoa giúp điều chỉnh lại kích thước của răng, mang lại sự đều đặn hài hòa trên cung hàm. Bằng kỹ thuật và dụng cụ cần thiết, nha sĩ sẽ tiến hành mài răng ở mặt ngoài, rìa cắn, mặt trong và đường hoàn tất. Tỷ lệ răng cần mài sẽ được nha sĩ cân nhắc chính xác thông qua quá trình thăm khám cẩn thận ban đầu.

► KHI NÀO NÊN MÀI RĂNG CỬA?

Chỉ những trường hợp dưới đây mới nên can thiệp mài răng để giúp hàm răng sau cùng thẩm mỹ hơn.

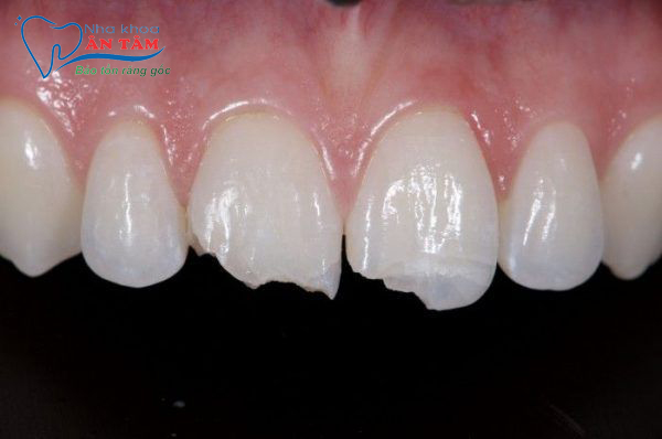
 ♦ Mài răng cửa bị sứt mẻ nặng

Răng không thể khôi phục được bằng phương pháp hàn trám răng thẩm mỹ sẽ được chỉ định mài răng để chụp mão sứ bên ngoài. Mài răng để bọc sứ giúp răng thật được bảo vệ tốt, còn nếu trám răng, vị trí răng bị mài đi sẽ bị yếu, dễ bị vi khuẩn xâm hại.

 ♦ Mài răng cửa bị gãy vỡ, kém thẩm mỹ

Vì lý do nào đó răng cửa của bạn bị nứt, gãy vỡ theo chiều ngang hoặc dọc sẽ được mài bớt một phần để làm răng sứ, thay vì trám răng sẽ không đảm bảo hiệu quả lâu dài.

 ♦ Mài răng cửa bị hô, kênh lệch, không đều nhau

Nếu kích thước răng cửa quá dài so với các răng còn lại trên cung hàm thì lựa chọn mài răng thẩm mỹ sẽ giúp hàm răng hài hòa hơn, kể cả trường hợp răng cửa bị hô hay kênh lệch nhẹ cũng có thể được áp dụng phương pháp mài cùi răng này.

► CÓ NÊN MÀI RĂNG CỬA KHÔNG?

Câu trả lời cho vấn đề có nên mài răng cửa không là: có thể, nhưng chỉ khi có chỉ định rõ ràng từ nha sĩ chuyên môn. Bạn không nên mài răng chỉ vì mục đích làm đẹp tạm thời hoặc chạy theo xu hướng. Nếu răng còn khỏe mạnh và chỉ lệch nhẹ, nha sĩ có thể tư vấn phương pháp khác như niềng răng hoặc chỉnh hình bảo tồn.

Vì vậy, thay vì tự quyết định, hãy để nha sĩ thăm khám và đánh giá cụ thể trước khi trả lời chính xác có nên mài răng cửa không trong trường hợp của bạn.

► ƯU NHƯỢC ĐIỂM CỦA KỸ THUẬT MÀI RĂNG CỬA

Mài răng cửa, như bất kỳ kỹ thuật nha khoa nào khác, đều có những ưu và nhược điểm riêng. Việc hiểu rõ những ưu nhược điểm này sẽ giúp bạn đưa ra quyết định sáng suốt trước khi thực hiện.

 ♦ Ưu điểm:

  • Cải thiện thẩm mỹ: mài răng cửa có thể giúp cải thiện đáng kể thẩm mỹ nụ cười bằng cách điều chỉnh hình dáng, kích thước và khắc phục các khuyết điểm như sứt mẻ, gãy vỡ, hô, móm, lệch lạc nhẹ của răng cửa.

  • Thực hiện nhanh chóng: quá trình mài răng thường diễn ra nhanh chóng, chỉ mất khoảng 15-30 phút cho mỗi răng.

  • Chi phí tương đối thấp: so với các phương pháp phục hình khác như bọc răng sứ hay dán sứ veneer, mài răng có chi phí thấp hơn.

 ♦ Nhược điểm:

  • Xâm lấn cấu trúc răng thật: mài răng là kỹ thuật xâm lấn, tác động trực tiếp lên cấu trúc răng thật. Việc loại bỏ một phần men răng có thể khiến răng trở nên nhạy cảm hơn với các kích thích nóng, lạnh, chua, ngọt.

  • Không thể phục hồi: men răng đã bị mài đi sẽ không thể tái tạo lại, do đó mài răng là kỹ thuật không thể phục hồi.

  • Nguy cơ ê buốt, nhạy cảm răng: trong một số trường hợp, mài răng có thể dẫn đến tình trạng ê buốt, nhạy cảm răng, đặc biệt là khi ăn nhai các thức ăn nóng, lạnh, chua, ngọt.

  • Có thể ảnh hưởng đến tủy răng: nếu mài răng quá sâu, xâm lấn vào ngà răng, có thể gây kích ứng tủy răng, dẫn đến viêm tủy, thậm chí là chết tủy.

  • Không phải là giải pháp lâu dài: trong một số trường hợp, mài răng chỉ là giải pháp tạm thời, không thể khắc phục triệt để các vấn đề về thẩm mỹ và chức năng của răng.

► NHỮNG LƯU Ý SAU KHI MÀI NHỎ RĂNG CỬA

Với những trường hợp không cần thiết thì bạn không nên mài răng cửa. Dù sao đây cũng là một trong những phương pháp có tác động trực tiếp đến men răng thật. Nếu như tình trạng răng của bạn bắt buộc phải mài răng thì cần lưu ý một số điểm quan trọng như sau:

  • Mài răng cửa với tỷ lệ cho phép, không nên vượt quá 2mm để tránh xâm lấn tới ngà răng, tủy răng, làm ảnh hưởng đến sức khỏe răng miệng về mặt lâu dài.

  • Đảm bảo điều kiện sức khỏe tốt vì răng mài phải khỏe mạnh thì mới mang lại hiệu quả tối ưu.

  • Không ăn những thức ăn quá cứng, chỉ nên ăn thức ăn mềm sau khi mài răng xong để tránh gây tê buốt chân răng và ảnh hưởng đến mô, nướu.

-----------------------------------------

Mong rằng với thông tin trên của Nha khoa Ân Tâm sẽ mang lại hữu ích cho bạn và giúp bạn đưa ra những quyết định cho mình! Nếu bạn đang quan tâm đến các dịch vụ chăm sóc sức khỏe răng miệng,hãy đến trực tiếp phòng khám của Nha khoa Ân Tâm để được các Nha sĩ khám và tư vấn miễn phí.

Hotline 0936.386.052

Zalo
Hotline