NHA KHOA BẢO TỒN - ĐIỀU TRỊ NHỨC CHÂN RĂNG HÀM DƯỚI NHƯ THẾ NÀO?

NHA KHOA BẢO TỒN - ĐIỀU TRỊ NHỨC CHÂN RĂNG HÀM DƯỚI NHƯ THẾ NÀO?
13/12/2025 08:19 AM 1865 Lượt xem
Nhức chân răng hàm dưới không chỉ gây ra cảm giác đau đớn mà còn ảnh hưởng đến sinh hoạt hằng ngày. Tình trạng này kéo dài có thể gây ra các ảnh hưởng xấu đến răng miệng và sức khỏe nên tuyệt đối không được chủ quan xem nhẹ việc khám chữa.

► DẤU HIỆU NHỨC CHÂN RĂNG HÀM DƯỚI LÀ GÌ?

Nhức chân răng hàm dưới là tình trạng vùng chân răng ở hàm dưới bị đau nhức, ê buốt âm ỉ hoặc kéo dài. Tình trạng này có thể xảy ra ở một hoặc nhiều răng lân cận, các mô xung quanh. Và nó ảnh hưởng rất nhiều đến sinh hoạt hàng ngày, việc ăn nhai và giấc ngủ. Tùy vào tình trạng đau nhức mà sẽ có một số biểu hiện phổ biến sau:

  • Đau âm ỉ hoặc nhói khi ăn nhai hoặc khi tác động vào răng.

  • Răng nhạy cảm, ê buốt khi tiếp xúc với thực phẩm nóng, lạnh hoặc ngọt.

  • Sưng đỏ ở vùng nướu quanh răng hàm dưới.

  • Khó mở miệng, cảm giác cứng hàm hoặc đau khi há miệng.

  • Răng có thể bị lung lay nhẹ, đặc biệt ở răng trong cùng.

  • Cảm giác đau lan tỏa từ răng hàm dưới sang vùng thái dương, tai hoặc hoạch cổ.

Đây có thể là tín hiệu báo động cho thấy răng hoặc nướu của bạn đang gặp vấn đề và cần được kiểm tra, xử lý kịp thời.

► NGUYÊN NHÂN GÂY NHỨC CHÂN RĂNG HÀM DƯỚI

Nhức chân răng hàm dưới thường do nhiều nguyên nhân khác nhau, từ nhẹ đến nghiêm trọng. Dưới đây là những nguyên nhân phổ biến nhất:

♦ Sâu răng

  • Vi khuẩn phá hủy men răng → ngà răng → tủy răng

  • Đau âm ỉ hoặc đau nhói, nhất là khi ăn ngọt, nóng, lạnh

  • Nếu sâu tới tủy, cơn đau có thể lan xuống chân răng và hàm 

♦ Viêm tủy răng

  • Do sâu răng lâu ngày, răng nứt, chấn thương

  • Đau dữ dội, đau tự phát, đau về đêm.

  • Có thể đau lan xuống hàm dưới, tai hoặc thái dương.

♦ Viêm quanh chóp răng (viêm chân răng)

  • Nhiễm trùng lan từ tủy xuống chân răng.

  • Đau khi cắn, nhai, có thể sưng nướu, nổi mụn mủ.

  • Trường hợp nặng có thể gây áp-xe.

♦ Viêm nướu/ viêm nha chu

  • Nướu sưng, đỏ, chảy máu khi đánh răng.

  • Răng có cảm giác ê, đau chân răng.

  • Thường gặp nếu vệ sinh răng miệng kém.

♦ Răng khôn hàm dưới mọc lệch hoặc viêm lợi trùm

  • Đau phía sau hàm, lan xuống cổ hoặc tai.

  • Nướu sưng, khó há miệng, có mùi hôi miệng.

♦ Răng nứt, mẻ hoặc sang chấn khớp cắn

  • Đau khi nhai đồ cứng

  • Cơn đau khó xác định rõ vị trí.

♦ Nghiến răng (đặc biệt khi ngủ)

  • Gây đau âm ỉ chân răng, mỏi hàm.

  • Thường đau nhiều vào buổi sáng.

► KHI NÀO CẦN GẶP NHA SĨ

Bạn cần đến gặp nha sĩ thăm khám sớm nhất có thể nếu gặp các tình trạng sau:

  • Cơn đau nhức, ê buốt diễn ra dữ dội không thể ăn uống, nói chuyện bình thường.

  • Cảm giác đau nhói kéo dài hơn 2 ngày nhưng không có dấu hiệu thuyên giảm.

  • Nhức răng kèm theo các triệu chứng đau đầu, chóng mặt, nóng sốt, khó cử động cơ miệng.

  • Có tình trạng khó thở, khó nuốt.

► CÁCH CHỮA Ê NHỨC CHÂN RĂNG HÀM DƯỚI HIỆU QUẢ.

Có nhiều biện pháp dân gian được sử dụng để giảm đau chân răng tại nhà, nhưng chúng thường chỉ mang tính tạm thời và không giúp chữa trị hoàn toàn.

Vì vậy, khi xuất hiện triệu chứng đau chân răng, quan trọng nhất là nên tới gặp các chuyên gia nha khoa tại các trung tâm uy tín để được tư vấn và lựa chọn phương pháp điều trị thích hợp dựa trên nguyên nhân gây ra:

  • Hàn trám răng: đây là một kỹ thuật đơn giản và thẩm mỹ. Nha sĩ sẽ áp dụng vật liệu trám lên vùng cổ răng bị mòn và điều chỉnh cho đến khi có tính thẩm mỹ tốt. Sau đó, một đèn laser sẽ được sử dụng để đông cứng vật liệu trám. Quá trình này giúp giảm tình trạng lộ ngà và làm giảm cảm giác ê buốt chân răng.

  • Phẫu thuật ghép vạt nướu: Đối với những trường hợp tụt lợi răng, việc ghép vạt nướu có thể được xem xét. Các vạt niêm mạc từ vùng răng lân cận sẽ được sử dụng để che phủ phần chân răng lộ ra do tụt lợi.

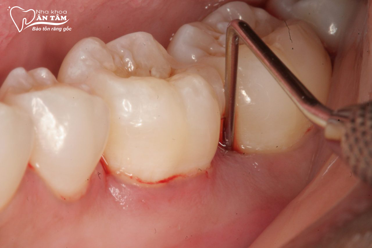
  • Lấy cao răng kết hợp với thuốc: việc loại bỏ mảng bám cao răng là một biện pháp tận tâm để khắc phục và ngăn ngừa viêm nhiễm. Trong trường hợp viêm nha chu, việc này có thể kết hợp với sử dụng thuốc kháng sinh và kháng viêm để đạt hiệu quả tốt nhất.

  • Điều trị tủy: để chữa trị nhức chân răng khi bị viêm chóp chân răng, điều trị tủy là một phương pháp quan trọng. Việc này nhằm bảo tồn mô răng và ngăn ngừa tình trạng nặng hơn, giúp tránh mất răng.

► PHÒNG TRÁNH ĐAU NHỨC CHÂN RĂNG HÀM DƯỚI

Nhức chân răng hàm dưới không còn là nỗi sợ của bạn nữa với những lưu ý cách phòng tránh dưới đây:

  • Chăm sóc và vệ sinh răng miệng thường xuyên, đúng cách: chải răng tối thiểu 2 lần mỗi ngày, không dùng tăm để xỉa răng mà nên ưu tiên sử dụng tăm nước, chỉ nha khoa, nước súc miệng để loại bỏ thức ăn thừa bám ở kẽ răng.

  • Xây dựng chế độ ăn uống hợp lý: thay vì ăn uống những loại thực phẩm chứa quá nhiều đường hoặc có axit cao, bạn nên ưu tiên các loại thực phẩm như rau xanh, trứng, sữa,... để bổ sung vitamin và canxi cần thiết cho răng, xương chắc khỏe.

  • Thăm khám nha sĩ 6 tháng/lần: việc thăm khám nha sĩ định kỳ sẽ giúp phát hiện các bệnh lý về răng miệng sớm, điều trị dứt điểm với hiệu quả cao hơn.

enlightened Nếu tình trạng không thuyên giảm hoặc có biến chứng sưng to, cản trở việc ăn uống. Hãy đến địa chỉ nha khoa uy tín để được thăm khám và điều trị kịp thời.

-----------------------------------------

Mong rằng với thông tin trên của Nha khoa Ân Tâm sẽ mang lại hữu ích cho bạn và giúp bạn đưa ra những quyết định cho mình! Nếu bạn đang quan tâm đến các dịch vụ chăm sóc sức khỏe răng miệng,hãy đến trực tiếp phòng khám của Nha khoa Ân Tâm để được các Nha sĩ khám và tư vấn miễn phí.

Hotline 0936.386.052

Zalo
Hotline