VENEER EMAX – TRƯỜNG HỢP NÊN DÁN SỨ EMAX

VENEER EMAX – TRƯỜNG HỢP NÊN DÁN SỨ EMAX
18/03/2025 09:13 PM 3129 Lượt xem

Dán sứ  Veneer Emaax là phương pháp đang được rất nhiều khách hàng ưa chuộng, phương pháp này mang tính thẩm mỹ cao và bảo tồn được cả răng thật và tủy răng. Để biết thêm về mặt dán sứ này, hãy cùng chúng tôi tìm hiểu qua bài viết sau.

 

I.Veneer Emax là gì?

Veneer Emax (Veneer sứ Emax) là một trong những phương pháp dán sứ Veneer thẩm mỹ được sử dụng rộng rãi hiện nay. Phương pháp này sử dụng một lớp vật liệu mỏng để bao bọc mặt trước của răng, giúp khắc phục tình trạng răng sứt mẻ, xỉn màu.

 

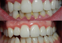
Mặt dán veneer Emax

 

Nó được chế tạo từ gốm thủy tinh Lithium Disillicate. Loại vật liệu này có màu mờ đục và đặc tính khuếch tán ánh sáng. Do đó đảm bảo tái tạo cấu trúc cùng màu sắc tự nhiên như răng thật.

II.Có mấy loại dán sứ veneer Emax.

Hiện nay trên thị trường có 2 loại dán sứ Emax được sản xuất bằng 2 kỹ thuật khác nhau:

♦ Kỹ thuật CAD/CAM đắp 3 lớp sứ.

Miếng dán sứ Emax được sản xuất bằng kỹ thuật CAD/CAM được cắt trên máy CAD/CAM, sau đó đắp 3 lớp sứ để tạo hiệu ứng lên form răng – stain màu – nướng bóng.

Chế độ bảo hành của miếng dán sứ được sản xuất bằng kỹ thuật CAD/CAM là 10 năm.

♦ Kỹ thuật đắp thủ công 7 – 9 lớp sứ.

Miếng dán sứ Emax được sản xuất bằng kỹ thuật thủ công, chúng được làm hoàn toàn bằng đôi bàn tay của các nghệ nhân nhoa khoe giỏi nhất của trung tâm labo. Để tạo ra được 1 miếng dán sứ veneer trắng – trong – bóng – cứng, người nghệ nhân không chỉ sở hữu đôi bàn tay khéo léo, kinh nghiệm xử lý màu sắc mà còn có gu thẩm mỹ tinh tế để tạo nên 1 nụ cười đẹp.

Chế độ bảo hành của miếng dán sứ được sản xuất bằng kỹ thuật đắp thủ công 7 – 9 lớp sứ là 15 năm.

III.Những trường hợp nên sử dụng dán sứ Emax.

Từ theo tình trạng răng miệng của khách hàng, các bác sĩ sẽ đưa ra những tư vấn điều trị một cách chính xác nhất. Dán sứ veneer Emax đặc biệt phù hợp với các trường hợp:

  • Răng xỉn màu, nhiễm màu do dùng kháng sinh tetracylin hoặc bẩm sinh mà các phương pháp tẩy trắng không khắc phục được.

 

 

  • Răng thưa, hở kẽ gây mất thẩm mỹ.

  • Kích thước, hình dạng các răng không đồng đều, bề mặt răng bị lỗ hoặc bị mòn, bị sứt mẻ, vỡ lớn.

  • Các khách hàng răng đã từng làm răng sứ thẩm mỹ kém chất lượng gây viêm lợi, đen viền chân răng có thể điều trị và thay thế bằng Veneer Emax.

IV.Ưu điểm của mặt dán sứ veneer Emax.

Dán sứ veneer Emax có rất nhiều ưu điểm vượt trội làm bạn hài lòng:

♦ Tính thẩm mỹ cao.

 

 

Khác với loại dán sứ truyền thống dày và dễ bị nứt vỡ, dán sứ Emax vừa có độ mỏng cao hơn. Lớp Veneer siêu mỏng cho màu sắc kết hợp với màu răng thật tạo ra lớp màu tự nhiên giống như răng thật.

♦ Độ bền cao.

Hiệu quả trắng sáng và bền màu gấp 3 lần các công nghệ thông thường mang lại tuổi thọ men răng lên tới trên 20 năm.

♦ Độ cảm nhận thức ăn tốt.

Lớp dán sứ có kích thước siêu mỏng nên không hề gây ra tình trạng vướng, cộm và không hề cản trở ăn nhai khi việc cảm nhận thức ăn.

♦ Hạn chế mài răng tối đa.

Bên cạnh tính thẩm mỹ cao, một trong những ưu điểm vô cùng nổi bật của mặt dán sứ Veneer Emax đó chính là răng gốc sẽ được bảo vệ tối đa, ít ảnh hưởng đến mô mềm, không làm thay đổi khớp cắn.

Hy vọng bài viết trên đây cung cấp, giúp bạn giải đáp thắc mắc về dán sứ Veneer Emax. Nếu bạn đang quan tâm đến dịch vụ dán sứ veneer mà vẫn chưa biết loại sứ  phù hợp với mình và chi phí như thế nào thì hãy đến trực tiếp phòng khám của Nha khoa Ân Tâm để được bác sĩ khám và tư vấn nhé!

Hy vọng với những thông tin trên đây giúp bạn giải đáp được thắc mắc về " Veneer Emax - Trường hợp nào nên dán sứ Emax ". Nếu bạn đang quan tâm đến dịch vụ bọc răng sứ hay dán sứ veneer mà vẫn chưa biết loại răng sứ phù hợp với mình và chi phí như thế nào thì hãy đến trực tiếp phòng khám của Nha khoa Ân Tâm để được bác sĩ khám và tư vấn miễn phí.

Để biết thêm dịch vụ tại Nha khoa Ân Tâm, quý khách hàng có thể inbox trực tiếp cho Nha khoa. Hoặc nhanh hơn, liên hệ ngay số Hotline 0936 386 052 để được tư vấn nhé!

 

Zalo
Hotline