NHA KHOA BẢO TỒN - HÔ HÀM TRÊN VÀ BIỆN PHÁP KHẮC PHỤC HIỆU QUẢ

NHA KHOA BẢO TỒN - HÔ HÀM TRÊN VÀ BIỆN PHÁP KHẮC PHỤC HIỆU QUẢ
20/01/2026 08:40 AM 1260 Lượt xem
Hô hàm trên là tình trạng thường thấy ở nhiều người, điều này không chỉ gây ảnh hưởng đến thẩm mỹ, gây mất tự tin trong giao tiếp, mà còn ảnh hưởng đến sức khỏe của bạn.

►Hô hàm trên là gì?

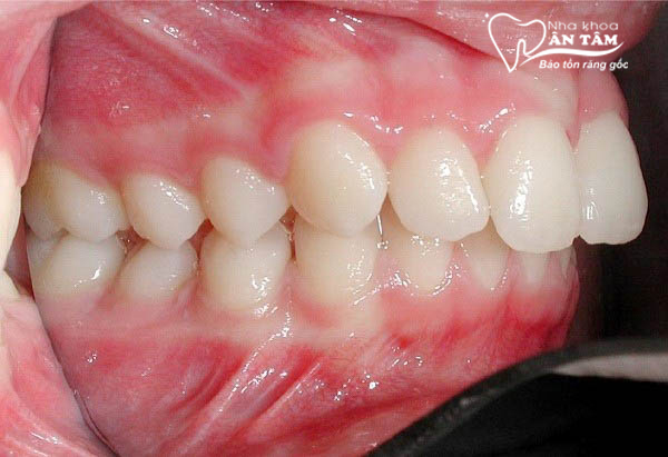
Hô hàm trên hay vẩu hàm trên là tình trạng răng, hoặc xương hàm, hoặc cả răng và xương hàm trên bị nhô ra trước quá mức.

♦ Biểu hiện

Dưới đây là những biểu hiện của hô hàm trên:

  • Khuôn mặt nhìn nghiêng "lồi".

  • Môi nhô ra trước, góc mũi môi nhọn.

  • Hở răng, môi không khép kín ở tư thế nghỉ.

  • Răng chìa, trục răng ngả - hoặc cả xương và răng đều chìa ra trước.

► NGUYÊN NHÂN DẪN ĐẾN TÌNH TRẠNG HÔ HÀM

Thông thường, răng hô hàm trên thường do một số nguyên nhân dưới đây:

  • Yếu tố di truyền: trong trường hợp trong gia đình có người bị tình trạng hô hàm, thì có thể các thế hệ con, cháu cũng sẽ có các biểu hiện sai lệch do cấu trúc xương hàm, cấu trúc của răng.

  • Thói quen lúc nhỏ: trẻ có thói quen xấu như mút tay, đẩy lưỡi, cắn môi dưới, chống cằm thường xuyên... sẽ gây ra tác động làm đẩy răng và hàm nhô ra phía trước, dẫn tới tình trạng hô.

  • Chế độ dinh dưỡng: chế độ ăn uống kém dinh dưỡng, thiếu hụt các dưỡng chất như canxi và các khoáng chất cần thiết thì sẽ làm ảnh hưởng đến quá trình này, khiến răng mọc lệch lạc, không đều, xương hàm kém phát triển.

  • Bệnh lý về xương hàm: sự phát triển quá mức hoặc không như bình thường cũng gây ra hiện tượng răng hô. Đối với trường hợp này, nếu bị với mức độ nặng sẽ phải can thiệp sâu mới giải quyết được.

► RĂNG HÔ HÀM TRÊN CÓ GÂY ẢNH HƯỞNG GÌ KHÔNG?

Răng hô hàm trên có thể gây ra một số ảnh hưởng đáng kể cho người mắc phải tình trạng này, cụ thể là một số tình trạng như:

  • Tạo nên các khó khăn trong việc ăn uống,ảnh hưởng nghiêm trọng đến cơ nhai. Từ đó, gián tiếp tác động đến hệ tiêu hóa. Nếu tình trạng này bị kéo dài thì sẽ để lại những hệ lụy liên quan các bệnh lý về khớp thái dương hàm.

  • Răng hô hàm trên còn gây ra hiện tượng răng mọc lệch lạc, tạo ra các khoảng trống giữa các răng. Thức ăn thường bị mắc hoặc vướng vào các vị trí này và tạo thành ổ vi khuẩn gây ra bệnh nha chu hoặc viêm nướu.

  • Tính thẩm mỹ bị ảnh hưởng cao, nó làm cho khuôn mặt của bạn trở nên mất cân đối và không hài hòa.

► CÁC PHƯƠNG PHÁP ĐIỀU TRỊ HÔ HÀM TRÊN HIỆU QUẢ

Hô hàm trên là tình trạng liên quan đến cấu trúc xương. Vì vậy, việc điều trị phải dựa vào mức độ và nguyên nhân.

♦ Phẫu thuật hàm hô - giải pháp tối ưu cho hô hàm

Đây là phương pháp duy nhất chỉnh trực tiếp xương hàm trên đưa ra trước, mang lại kết quả thẩm mỹ vượt trội và lâu dài.

Kỹ thuật phẫu thuật phổ biến

  • Cắt Lefort I để đẩy lùi hàm trên về vị trí chuẩn.

  • Cân chỉnh xương hàm theo tỷ lệ gương mặt.

  • Phối hợp chỉnh răng trước hoặc sau phẫu thuật.

►Niềng răng trong trường hợp hô nhẹ hoặc hỗ trợ phẫu thuật

Niềng răng không thể chỉnh hô do hàm, nhưng có vai trò quan trọng trong:

  • Điều trị các trường hợp hô do răng.

  • Chuẩn bị răng trước phẫu thuật.

  • Ổn định khớp cắn sau phẫu thuật hàm.

Các phương pháp gồm:

  • Mắc cài kim loại.

  • Mắc cài sứ.

  • Niềng trong suốt.

Muốn biết chính xác, tốt nhất bạn hãy đến trực tiếp nha khoa uy tín để thăm khám tình trạng răng hiện tại và nghe tư vấn của nha sĩ để chọn được phương pháp phù hợp.

-----------------------------------------

Mong rằng với thông tin trên của Nha khoa Ân Tâm sẽ mang lại hữu ích cho bạn và giúp bạn đưa ra những quyết định cho mình! Nếu bạn đang quan tâm đến các dịch vụ chăm sóc sức khỏe răng miệng,hãy đến trực tiếp phòng khám của Nha khoa Ân Tâm để được các Nha sĩ khám và tư vấn miễn phí.

Hotline 0936.386.052

Zalo
Hotline