NHA KHOA BẢO TỒN - LỢI ÍCH CỦA VIỆC ĂN NHAI ĐÚNG CÁCH

NHA KHOA BẢO TỒN - LỢI ÍCH CỦA VIỆC ĂN NHAI ĐÚNG CÁCH
20/04/2026 08:42 AM 139 Lượt xem
Nhai, nuốt thức ăn là hoạt động thường ngày, ai cũng có thể thực hiện. Hoạt động tưởng chừng như bản năng này trên thực tế vẫn có thể thực hiện sai cách nếu bạn không chú ý.

►NGUYÊN NHÂN ĂN NHAI SAI CÁCH LÀ GÌ?

Có rất nhiều nguyên nhân dẫn đến tình trạng ăn nhai sai cách, phổ biến như:

  • Mất răng: tình trạng mất 1 hoặc nhiều răng trên cung hàm là nguyên nhân phổ biến dẫn đến tình trạng ăn nhai sai cách ở nhiều người, đặc biệt là mất răng hàm. Trong trường hợp răng không được khôi phục, lâu dần sẽ hình thành nên thói quen ăn nhai 1 bên.

  • Đau răng: tình trạng sâu răng hoặc mọc răng khôn gây đau nhức và khó chịu ở một bên hàm. Lúc này hầu hết mọi người sẽ có xu hướng nhai ở bên còn lại nhằm giảm cảm giác đau và khó chịu khi ăn.

  • Thói quen xấu: việc ăn nhai một bên từ khi còn nhỏ, lâu dần sẽ hình thành nên thói quen xấu khó bỏ. Do đó, để đảm bảo răng trẻ đều và đẹp thì cha mẹ nên quan xác và sửa đổi thói quen ăn nhai của trẻ ngay từ khi còn bé.

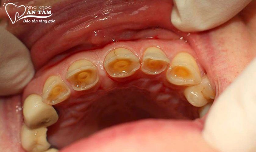
  • Bệnh lý răng miệng: tình trạng viêm lợi, viêm chân răng, viêm nha chu,.. xuất hiện ở 1 bên hàm cũng là nguyên nhân dẫn đến tình trạng nhai 1 bên. Lúc này, bạn cần đến cơ sở nha khoa uy tín để điều trị sau đó cải thiện việc ăn nhai đúng cách hơn.

► CÁC HẬU QUẢ CỦA ĂN NHAI KHÔNG ĐÚNG CÁCH

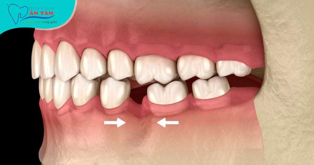
Ăn nhai một bên hàm là ví dụ điển hình của việc ăn nhai không đúng cách. Đây là thói quen rất phổ biến, thường gặp ở trẻ em. Thế nhưng, ít ai biết rằng, thói quen tưởng chừng vô hai này lại gây ra nhiều hậu quả nặng nề cho sức khỏe răng miệng. Cụ thể:

 ♦ Răng bị mài mòn gấp đôi

Răng hay nói chính xác hơn là men răng, là bộ phận cứng chắc nhất trên cơ thể người. Tuy nhiên, chúng vẫn sẽ bị tổn thương bởi những yếu tố tác động từ bên ngoài.

Mỗi ngày, hàm răng đều phải thực hiện các thao tác ăn nhai nhiều làn. Hoạt động này duy trì liên tục đến hàng thập kỷ vì vậy mà việc bị mài mòn là điều không thể tránh khỏi. Và thói quen nhai một bên hàm sẽ khiến tốc độ mài mòn trở nên nhanh hơn.

Đặc biệt, thói quen nhai một bên hàm còn khiến răng trông rất lộn xộn. Bởi vì một bên hàm ăn nhai thường xuyên sẽ mòn dần làm chiều cao thân răng sụt giảm.

Trong khi đó, ở bên hàm còn lại vì ít vận động mà các tổ chức quanh răng yếu và mỏng dần. Một hàm răng bất cân xứng không chỉ ảnh hưởng đến thẩm mỹ mà còn khiến chức năng nhai nuốt trở nên kém hiệu quả.

 ♦ Lệch mặt

Theo nghiên cứu, trong quá trình ăn nhai, nếu cả 2 phía hàm trái phải phối hợp hoạt động nhịp nhàng không chỉ giúp nghiền nát thức ăn trước khi đưa vào dạ dày tốt hơn mà còn đảm bảo cho xương hàm và răng phát triển bình thường, cân đối.

Tuy nhiên, khi nhai lệch một bên, cơ hàm bên phía thường xuyên ăn nhai sẽ phát triển, ở cơ hàm còn lại vì ít hoạt động nên dần co và teo lại, gây hiện tượng lệch mặt. Nhiều trường hợp nghiêm trọng còn có thể lệch cả sống mũi. Điều này làm ảnh hưởng xấu đến thẩm mỹ khuôn mặt.

 ♦ Tổn thương khớp thái dương hàm

Là khớp động duy nhất của phần sọ mặt, khớp thái dương hàm giúp ta có thể thực hiện các động tác như há miệng, ngậm miệng, nói chuyện, ăn nhai,...Việc ăn không đúng cách trong thời gian dài, nhai lệch một bên sẽ khiến khớp thái dương hàm mòn dần và dễ dẫn đến tình trạng viêm hoặc sai khớp cắn.

Biểu hiện rõ rệt nhất của viêm khớp thái dương hàm là xuất hiện những cơn đau xung quanh tai, khó khăn khi cử động hàm, việc mở miệng hoặc nhai có thể phát ra tiếng kêu khớp,..

► LỢI ÍCH CỦA VIỆC ĂN NHAI ĐÚNG CÁCH

Dưới đây là những lợi ích sức khỏe hàng đầu của việc nhai thức ăn đúng cách:

  • Hấp thụ nhiều chất dinh dưỡng và năng lượng từ thức ăn.

  • Duy trì cân nặng hợp lý.

  • Các enzym có lợi trong nước bọt được tiết ra nhiều hơn và tiếp xúc với thức ăn lâu hơn.

  • Tiêu hóa dễ dàng hơn.

  • Giữ cho răng của bạn sạch sẽ.

  • Vi khuẩn xấu ít có khả năng lưu trú trong ruột.

  • Thưởng thức trọn vẹn hương vị món ăn và tạo cảm giác ngon miệng hơn.

Khi bạn không biết cách nhai đúng thì chỉ có một phần thức ăn được tiêu hóa, phần còn lại sẽ gây rối loạn hệ tiêu hóa. Cơ thể bạn có thể không sản xuất đủ enzym để phân hủy hoàn toàn thức ăn. Điều này sẽ dẫn đến các vấn đề tiêu hóa, bao gồm: đầy bụng, khó tiêu hoặc tiêu chảy, ợ chua, buồn nôn, nhức đầu hoặc cáu kỉnh.

► HƯỚNG DẪN CÁCH ĂN NHAI ĐÚNG

Để đảm bảo việc ăn nhai thức ăn đúng cách bạn nên lưu ý những điều sau:

  • Nhai thật đều 2 bên: đặc biệt trẻ em rất hay bắt gặp tình trạng nhai một bên hàm. Người lớn nếu như có thể dùng ý chí, hiểu biết điều chỉnh thói quen thì trẻ nhỏ bạn chỉ có thể huấn luyện. Có thể với 1 viên kẹo cao su không đường trước và tập cho trẻ nhai tập trung vào phần bên hàm thường không nhai tới, động tác nhai điều chỉnh dần dần cho đến khi trẻ có thể vô thức điều chỉnh nhai đều 2 bên, trong bữa ăn bạn cũng nên nhắc nhở trẻ thường xuyên về việc đảo viên thức ăn đều và chú ý nhai vào bên hàm thường quên không sử dụng.

  • Nhai thật kỹ: các nghiên cứu chỉ ra rằng bạn nên nhai khoảng 32 lần trung bình trước khi nuốt. Các thực phẩm dai, cứng có thể yêu cầu cao hơn lên đến 40 lần và thực phẩm mềm thì chỉ cần 10-15 lần là đủ. Ngoài số lần nhai thì yếu tố cũng quan trọng là nhai chậm, vì nếu nhai quá nhanh bạn sẽ có xu hướng dăn nhiều, đưa quá nhiều thực phẩm vào cơ thể.

  • Biết chức năng chính xác của từng nhóm răng và sử dụng chuẩn xác: răng hàm dùng để nhai nghiền và răng cửa dùng cắn xé. Bạn không nên dùng răng cửa để nhai nghiền thức ăn vì răng cửa chỉ có 1 chân yếu ớt, rất dễ bị mòn và nhạy cảm.

► LƯU Ý CẦN BIẾT KHI ĂN NHAI THỨC ĂN

Một số lưu ý bạn cần biết khi ăn nhai để cơ thể được đảm bảo sức khỏe như:

  • Có thể uống nước trước hoặc sau khi ăn khoảng 30 phút. Thế nhưng không nên uống khi dùng bữa, nhằm để nước bọt tự tiết ra và làm việc hết công suất.

  • Không nên uống cà phê ngay sau vừa dùng bữa. Bởi vì loại thức uống này có tính acid mạnh nên có thể gây ra ợ nóng.

  • Hạn chế ăn đồ ngọt đã chế biến hay trái cây sau bữa chính. Vì như thế có thể gây ra tình trạng chướng bụng, đầy hơi.

  • Tránh vận động, tập thể dục sau khi vừa ăn xong. Bởi vì, quá trình tiêu hóa đòi hỏi cơ thể tiêu hao lượng lớn năng lượng. Nếu tập luyện nặng ngay sau khi ăn, quá trình tiêu hóa sẽ không đủ năng lượng để hoạt động. Từ đó khiến quá trình tiêu hóa không diễn ra thuận lợi, hiệu quả.

-----------------------------------------

Mong rằng với thông tin trên của Nha khoa Ân Tâm sẽ mang lại hữu ích cho bạn và giúp bạn đưa ra những quyết định cho mình! Nếu bạn đang quan tâm đến các dịch vụ chăm sóc sức khỏe răng miệng,hãy đến trực tiếp phòng khám của Nha khoa Ân Tâm để được các Nha sĩ khám và tư vấn miễn phí.

Hotline 0936.386.052

Zalo
Hotline