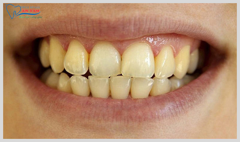
► RĂNG XỈN MÀU LÀ GÌ?
Răng xỉn màu là tình trạng răng bị xỉn đen, răng xỉn màu vàng, không còn trắng. Nguyên nhân có thể do di truyền, tuổi tác, cách vệ sinh răng miệng, cách di truyền,... Sắc tố màu trắng do sự phản chiếu của men răng, theo thời gian, bề mặt răng dần bị bào mòn, lộ phần ngà vàng ở bên trong.
► NGUYÊN NHÂN NÀO KHIẾN RĂNG BỊ XỈN MÀU?
Dưới đây là một số nguyên nhân chính dẫn đến tình trạng răng bị xỉn màu:
1. Nguyên nhân từ thói quen hằng ngày
-
Thực phẩm và đồ uống sậm màu: cà phê, trà, coca, rượu vang đỏ, nước tương, cà ri, nghệ,.. đều dễ bám vào men răng và làm răng sậm màu.
-
Hút thuốc lá: nicotin và hắc ín trong thuốc lá làm răng vàng đậm hoặc nâu, rất khó sạch bằng cách đánh răng.
2. Vệ sinh răng miệng chưa tốt
-
Không đánh răng đủ 2 lần/ngày
-
Không dùng chỉ nha khoa
→ Mảng bám và cao răng tích tụ, khiến răng trông xỉn màu.
3. Tuổi tác
Theo thời gian, men răng bị mài mòn, để lộ lớp ngà răng có màu vàng → răng trông sẫm hơn.
-
Trẻ em dùng kháng sinh tetracycline trong giai đoạn răng đang phát triển → răng xám, nâu.
-
Dư flour (fluorosis) → đốm trắng hoặc nâu trên răng.
5. Bệnh lý răng miệng
-
Sâu răng gây đổi màu
-
Viêm tủy làm răng xám hoặc đen
-
Chấn thương răng khiến ngà răng bị tối màu từ bên trong
6. Yếu tố bẩm sinh
Men răng mỏng hoặc yếu bẩm sinh cũng dễ khiến răng trông vàng hơn người khác.
► CÁCH CẢI THIỆN RĂNG XỈN MÀU NHƯ THẾ NÀO?
Để sở hữu hàm răng sáng khỏe, bạn có thể lựa chọn nhiều phương pháp khác nhau. Bắt đầu từ chăm sóc tại nhà đến điều trị chuyên sâu tại nha khoa.
♦ Cải thiện màu tự nhiên tại nhà
Bạn hoàn toàn có thể làm sáng răng bằng những cách đơn giản, an toàn và dễ thực hiện ngay tại nhà nếu duy trì đều đặn mỗi ngày.

-
Sử dụng kem đánh răng làm trắng: những loại kem đánh răng này chứa các hạt mài mòn nhẹ hoặc enzyme có tác dụng loại bỏ mảng bám bề mặt trên răng. Tuy nhiên, chúng không thể làm thay đổi màu sắc bên trong của răng.
-
Miếng dán, bút hoặc gel tẩy trắng răng tại nhà: các sản phẩm này chứa peroxide nồng độ thấp có tác dụng làm trắng răng sau vài tuần sử dụng. Thế nhưng, chúng có thể gây ê buốt và kích ứng nướu nếu dùng sai cách.
♦ Cải thiện tông màu răng tự nhiên tại nha khoa
Để đạt hiệu quả nhanh và rõ rệt, các phương pháp làm trắng răng chuyên nghiệp tại nha khoa sẽ là lựa chọn tối ưu.
• Tẩy trắng răng bằng đèn/laser
-
Thời gian: 40-60 phút
-
Hiệu quả: Trắng rõ 2-4 tông sau 1 buổi
-
Ưu điểm: Nhanh, an toàn, duy trì 1-3 nằm (tùy chăm sóc)
-
Nhược: Có thể ê buốt nhẹ 1-2 ngày
⇒ Phù hợp khi muốn trắng nhanh, răng xỉn nhiều.
• Tẩy trắng răng bằng máng tại nhà
-
Nha sĩ lấy dấu răng → làm máng chuyên dụng → cung cấp gel tẩy.
-
Thời gian: Đeo 1-2 giờ mỗi ngày, khoảng 7-14 ngày.
-
Ưu điểm: Kiểm soát được độ trắng, ít ê hơn
-
Nhược: Tốn thời gian, cần kiên trì.
⇒ Phù hợp nếu bạn muốn trắng từ từ nhưng an toàn
• Dán sứ Veneer - Bọc sứ (Thẩm mỹ cho trường hợp nặng)
-
Dành cho răng bị xỉn màu do nhiễm tetracycline, fluor nặng, hoặc tổn thương mà tẩy trắng không hiệu quả.
-
Hiệu quả: Trắng đồng đều, bền 10-15 năm.
-
Nhược: Chi phí cao, một số trường hợp phải mài răng nhẹ
-
Giải pháp cho răng nhiễm màu nặng mà tẩy trắng không cải thiện.
⇒ Phù hợp nếu bạn muốn trắng từ từ nhưng an toàn.
Lời khuyên để đạt hiệu quả tốt nhất
-
Tránh cà phê, trà, thuốc lá trong 48 giờ sau tẩy trắng.
-
Dùng kem đánh răng chống ê buốt nếu cần.
-
Duy trì vệ sinh răng miệng tốt để giữ màu lâu.
Nếu không may gặp phải tình trạng này, bạn có thể đến bệnh viện hoặc các trung tâm nha khoa uy tín để điều trị và lấy lại nụ cười hằng mơ ước.
-----------------------------------------
Mong rằng với thông tin trên của Nha khoa Ân Tâm sẽ mang lại hữu ích cho bạn và giúp bạn đưa ra những quyết định cho mình! Nếu bạn đang quan tâm đến các dịch vụ chăm sóc sức khỏe răng miệng,hãy đến trực tiếp phòng khám của Nha khoa Ân Tâm để được các Nha sĩ khám và tư vấn miễn phí.
Hotline 0936.386.052


.jpg)

