NHA KHOA BẢO TỒN - QUY TRÌNH BỌC RĂNG SỨ ĐÚNG CHUẨN AN TOÀN

NHA KHOA BẢO TỒN - QUY TRÌNH BỌC RĂNG SỨ ĐÚNG CHUẨN AN TOÀN
22/10/2025 08:25 AM 128 Lượt xem
Bọc răng sứ là một giải pháp nha khoa thẩm mỹ phổ biến, sử dụng mão răng nhân tạo để bao phủ toàn bộ thân răng. Để đảm bảo an toàn, hiệu quả và bảo tồn răng thật tối đa.

► KHI NÀO CẦN BỌC RĂNG SỨ?

Bọc răng sứ là một kỹ thuật phục hình hiệu quả, tuy nhiên không phải trường hợp nào cũng phù hợp. Việc xác định đúng chỉ định sẽ giúp tối ưu hóa kết quả điều trị.

Các trường hợp được chỉ định bọc răng sứ:

  • Răng bị sứt mẻ, vỡ lớn mà phương pháp hàn trám không thể phục hồi hiệu quả.

  • Răng bị sâu nặng, đã điều trị tủy và cần được bảo vệ cùi răng thật còn lại.

  • Răng mọc lệch lạc, thưa, hô hoặc móm ở mức độ nhẹ.

  • Răng ố vàng, nhiễm màu nặng do kháng sinh mà phương pháp tẩy trắng không mang lại hiệu quả.

  • Răng đã chữa tủy trở nên giòn, yếu và có nguy cơ gãy vỡ cao.

Các trường hợp không nên bọc răng sứ:

  • Cấu trúc xương hàm sai lệch nặng, vì bọc sứ không thể khắc phục được vấn đề này.

  • Răng quá nhạy cảm hoặc bị lung lay do chân răng không còn vững chắc.

  • Mất răng hoàn toàn không còn chân răng (trường hợp này sẽ được tư vấn làm cầu răng sứ hoặc cấy ghép Implant).

► QUY TRÌNH BỌC RĂNG SỨ ĐÚNG CHUẨN

Quy trình bọc răng sứ đúng chuẩn thường bao gồm 5-7 bước, tùy vào tình trạng răng miệng của từng người và kỹ thuật thực hiện tại nha khoa. Dưới đây là quy trình bọc răng sứ phổ biến và đạt chuẩn y khoa:

1. Thăm khám và tư vấn

Mục đích: Đánh giá tình trạng răng miệng, xác định có phù hợp để bọc sứ hay không.

– Thực hiện: 

  • Chụp X-quang răng (nếu cần) để kiểm tra cấu trúc bên trong.

  • Phát hiện các vấn đề như sâu răng, viêm tủy, viêm nướu,..

– Tư vấn: Bác sĩ sẽ tư vấn loại răng sứ phù hợp với nhu cầu và tài chính của bạn

2. Vệ sinh răng miệng và điều trị bệnh lý (nếu có)

  • Loại bỏ mảng bám, cao răng và điều trị các bệnh lý trước khi bọc sứ.

  • Trường hợp răng bị sâu, viêm tủy,.. sẽ được điều trị triệt để để tránh biến chứng về sau.

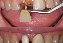
3. Gây tê và mài cùi răng

  • Gây tê cục bộ để giảm đau trong quá trình mài răng.

  • Mài răng: Bác sĩ sẽ mài một lớp mỏng men răng (khoảng 0.3-1mm) để tạo hình cùi răng, giúp mão sứ ôm khít và không cộm cấn.

Lưu ý: Đây là bước rất quan trọng, yêu cầu kỹ thuật cao. Nếu mài quá nhiều có thể ảnh hưởng đến tủy răng.

4. Lấy dấu răng và chế tác mão sứ

  • Lấy dấu răng: có thể dùng chất lấy dấu truyền thống hoặc máy scan 3D kỹ thuật số.

  • Gửi dữ liệu đến labo để thiết kế và chế tác mão răng sứ theo hình dáng - màu sắc phù hợp.

  • Thời gian chế tác:1-3 ngày (hoặc lâu hơn tùy loại răng sứ).

5. Gắn răng tạm

Trong thời gian chờ mão sứ, bạn sẽ được gắn răng tạm để: 

  • Đảm bảo thẩm mỹ

  • Tránh ê buốt khi ăn uống

  • Giữ ổn định vị trí cùi răng

6. Gắn mão răng sứ và điều chỉ khớp cắn

Sau khi hoàn thiện, nha sĩ sẽ thử mão sứ lên răng:

  • Kiểm tra độ vừa khít, màu sắc, hình dáng.

  • Điều chỉnh để không bị cộm hay lệch khớp cắn.

  • Nếu đã ổn, tiến hành gắn cố định mão sứ bằng keo dán chuyên dụng.

7. Hướng dẫn chăm sóc và tái khám

Hướng dẫn cách chăm sóc răng sứ sau khi bọc:

  • Đánh răng 2 lần/ngày, dùng chỉ nha khoa.

  • Hạn chế ăn đồ ăn quá cứng, quá nóng/lạnh.

  • Tái khám định kỳ để kiểm tra răng sứ và sức khỏe răng miệng tổng thể.

♦ Thời gian thực hiện: 

  • Trung bình 2-3 buổi (trong vòng 2-5 ngày).

  • Một số nơi sử dụng công nghệ CAD/CAM có thể hoàn tất trong 1 ngày.

► CÁC PHƯƠNG PHÁP BỌC RĂNG SỨ PHỔ BIẾN HIỆN NAY

Đáp ứng nhu cầu khách hàng ngày càng cao, nhiều phương pháp bọc răng sứ đã ra đời như sau:

♦ Làm mão răng

Bọc mão răng sứ là phương pháp phổ biến hiện nay. Cách này phù hợp cho trường hợp răng tổn thương, bể khá lớn. Trám răng không thể phục hồi lại hình dáng răng như cũ.

Lúc này, bác sĩ sẽ tiến hành mài một phần răng rồi chụp mão răng sứ lên để khôi phục lại hình dạng kích thước cho răng cũ. Vì vậy, bạn có thể yên tâm thực hiện chức năng ăn nhai và sở hữu nụ cười tự tin, duyên dáng.

♦ Làm cầu răng

Phương pháp này được áp dụng cho trường hợp bị mất một hoặc nhiều răng nhưng vẫn còn răng trụ hai bên. nếu khách hàng chưa đủ điều kiện kinh tế để trồng răng Implant.

Cầu răng sứ là giải pháp khắc phục hiệu quả tình trạng trên. Bác sĩ sẽ tiến hành mài nhỏ 2 trụ răng bên cạnh rồi bọc răng sứ lên răng.

► HƯỚNG DẪN CHĂM SÓC RĂNG SỨ ĐÚNG CÁCH

1. Vệ sinh đúng cách: bàn chải mềm - chỉ nha khoa - nước súc miệng dịu nhẹ

  • Sử dụng bàn chải lông mềm, kem đánh răng không mài mòn

  • Kết hợp sử dụng chỉ nha khoa và nước súc miệng không cồn.

⇒ Những sản phẩm này giúp làm sạch hiệu quả mà không làm tổn thương men sứ hoặc nướu quanh răng.

2. Lưu ý trong ăn uống: hạn chế đồ cứng - nóng lạnh - thực phẩm có màu đậm

  • Hạn chế nhai đá, cắn xương, hoặc ăn các món quá nóng - lạnh đột ngột. Vì có thể gây sốc nhiệt, dẫn đến nứt vỡ mão sứ.

  • Ngoài ra, quý khách cần tránh các thực phẩm như trà, cà phê, nước ngọt có gas,.. vì chúng làm răng sứ bị xỉn màu theo thời gian.

3. Duy trì độ trắng: tránh hút thuốc, trà, cà phê, tẩy trắng chuyên sâu định kỳ

Mặc dù răng sứ không bị đổi màu vĩnh viễn như răng thật, nhưng bề mặt vẫn có thể tích tụ vết ố, nên hạn chế hút thuốc, uống trà đặc, cà phê đen.

4. Cạo vôi, đánh bóng định kỳ tại nha khoa

  • Nên cạo vôi răng mỗi 6 tháng để loại bỏ vi khuẩn và mảng bám quang răng sứ.

  • Đánh bóng mão sứ bằng máy chuyên dụng sẽ giúp tăng tuổi thọ và duy trì tính thẩm mỹ vượt trội cho phục hình.

-----------------------------------------

Mong rằng với thông tin trên của Nha khoa Ân Tâm sẽ mang lại hữu ích cho bạn và giúp bạn đưa ra những quyết định cho mình! Nếu bạn đang quan tâm đến các dịch vụ chăm sóc sức khỏe răng miệng,hãy đến trực tiếp phòng khám của Nha khoa Ân Tâm để được các Nha sĩ khám và tư vấn miễn phí.

Hotline 0936.386.052

Zalo
Hotline